Success Stories

Comprehensive General Dentistry, we take care of it all!
A

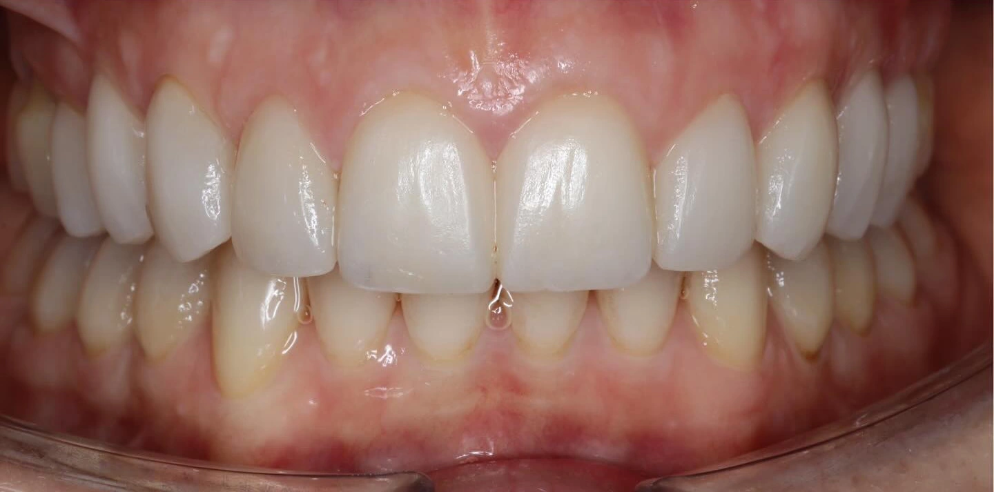
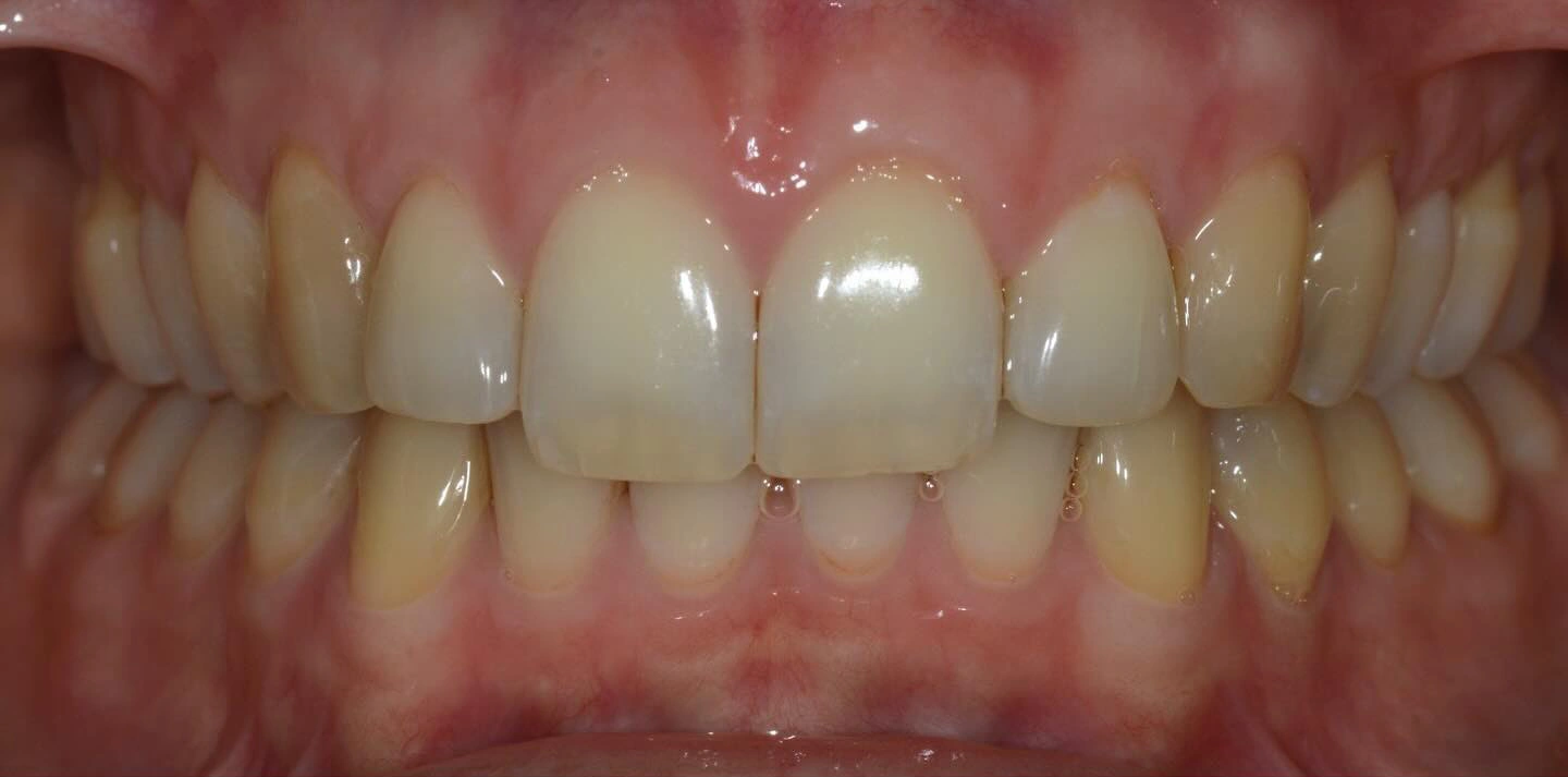
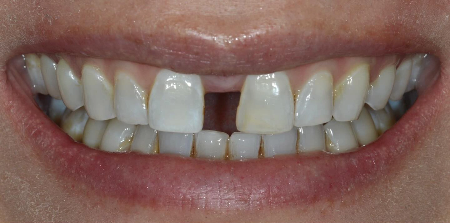
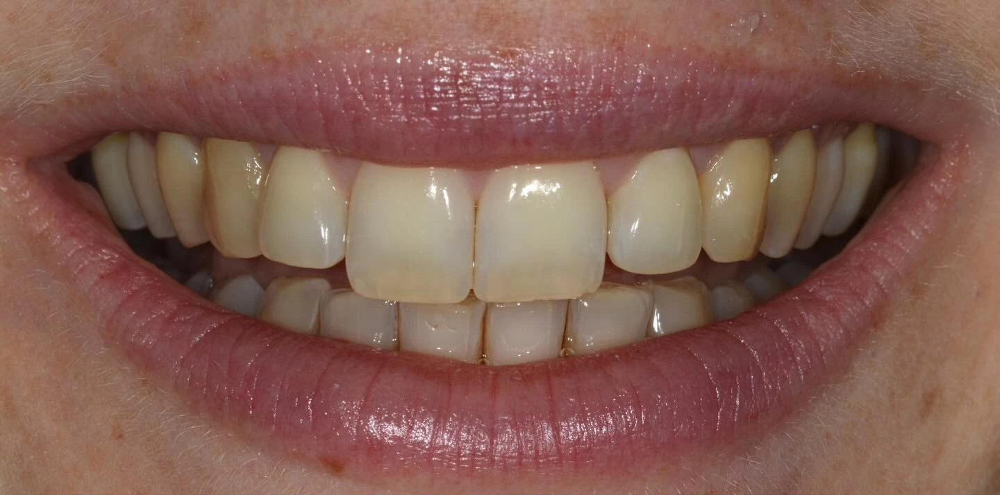
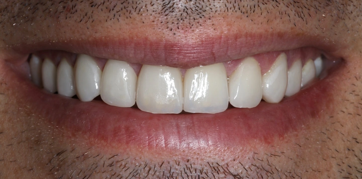
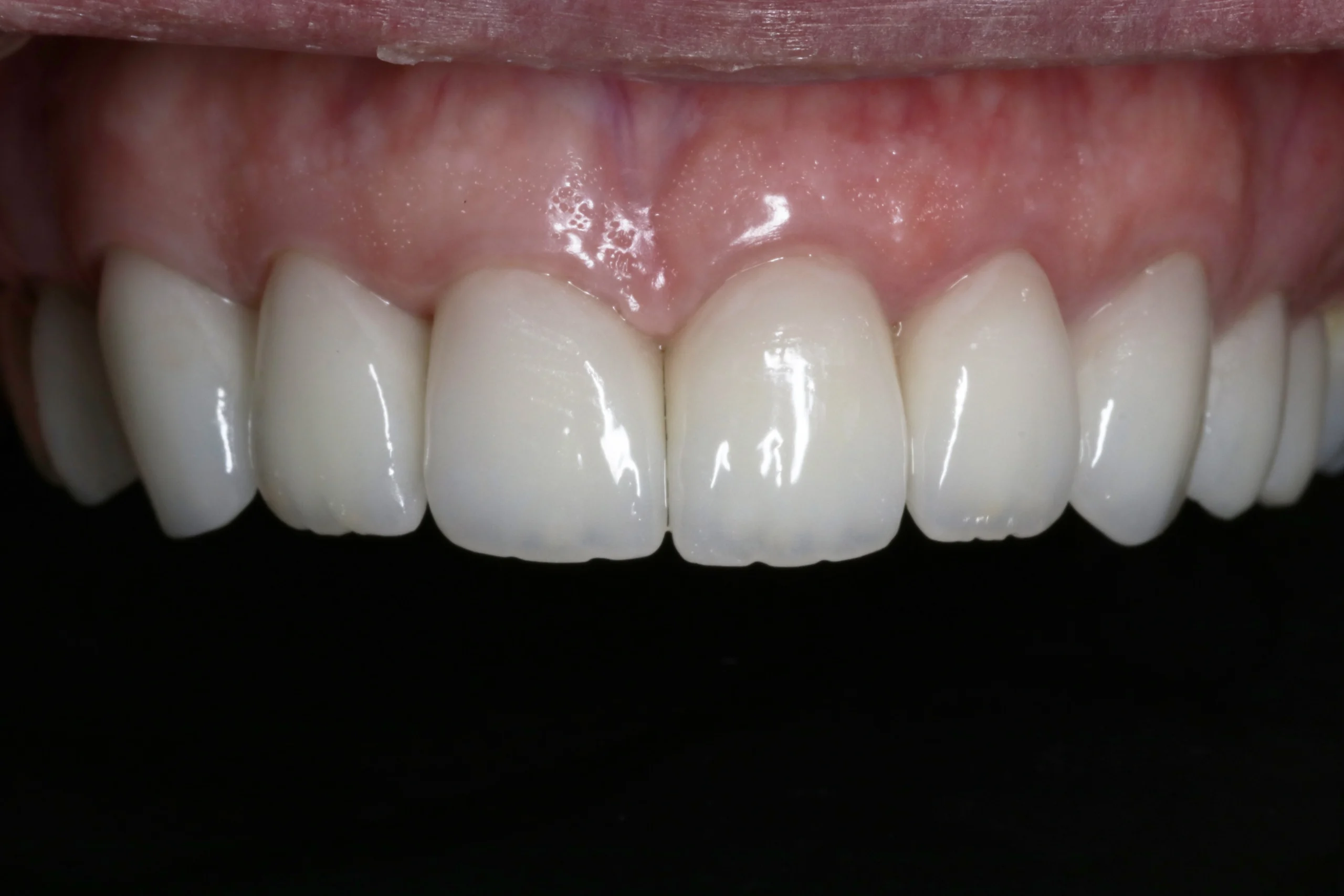
10-Unit Veneer Case with Corrected Joint Position

  • Post-Invisalign, 10-unit veneer case with Dawson fundamentals of a balanced bite
  • Resulted in the correct joint position to calm muscles and set up for long-lasting esthetics
    B

    MARPE, Myofunctional Therapy, and Tongue Tie Frenulum Release

    • This patient now sleeps & breathes better while loving her new veneers!
    • Treatment included MARPE, ortho, myofunctional therapy, tongue-tie, frenum release, and bite equilibration
    • Handcrafted 6 porcelain veneers to close remaining spaces
      C

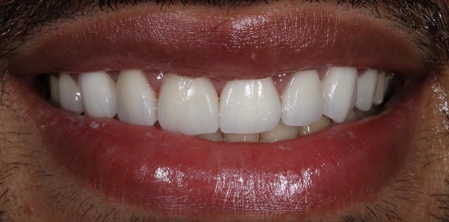
      10 Super Natural and Conservative Feldspathic Veneers

      • “My family could tell something changed, but couldn’t exactly tell me what” - Patient comment
      • I love when patients give me full trust to pick the shade, resulting in restorations that blend in and showcase the entire smile/face rather than just the teeth
      • 10 super natural and conservative feldspathic veneers to round off a comprehensive treatment plan involving Invisalign and full mouth equilibration
        D

        MARPE, Myofunctional Therapy, and Veneers

        • Holistic airway workup including MARPE, myofunctional therapy, Invisalign, veneers, and composite buildups
        • Patient is left with a perfected bite & finally feeling energetic and well-rested
          E

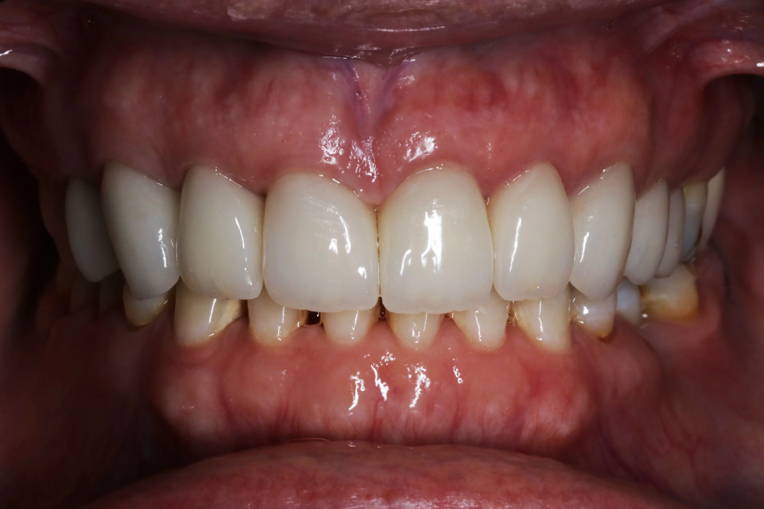
          Crowns and Veneers

          • Lovely 77-year-old woman wanted a long-term fix to her teeth in time for her son’s wedding
          • Completed a full mouth combination of crowns and veneers mounted in CR and fully equilibrated
            F

            Whitening and Veneers

            • A nicely balanced smile involving Ortho/Invisalign, whitening, bite equilibration, 6 upper feldspathic veneers and 6 lower composites
              G

              Trauma Resulting in Extraction and Implant

              • Trauma resulted in tooth having to be extracted and an implant being placed
              • Soft tissue management was key - we used custom pieces to help the gums heal in a natural shape, and worked closely with the lab to make sure the teeth fit well and matched the bone and spacing
              • Resulted in 9 veneers and 1 implant crown
                H

                Veneers and Crowns

                • Replaced existing discolored work and fixed tooth proportions using 10 unit veneers/crowns
                  I

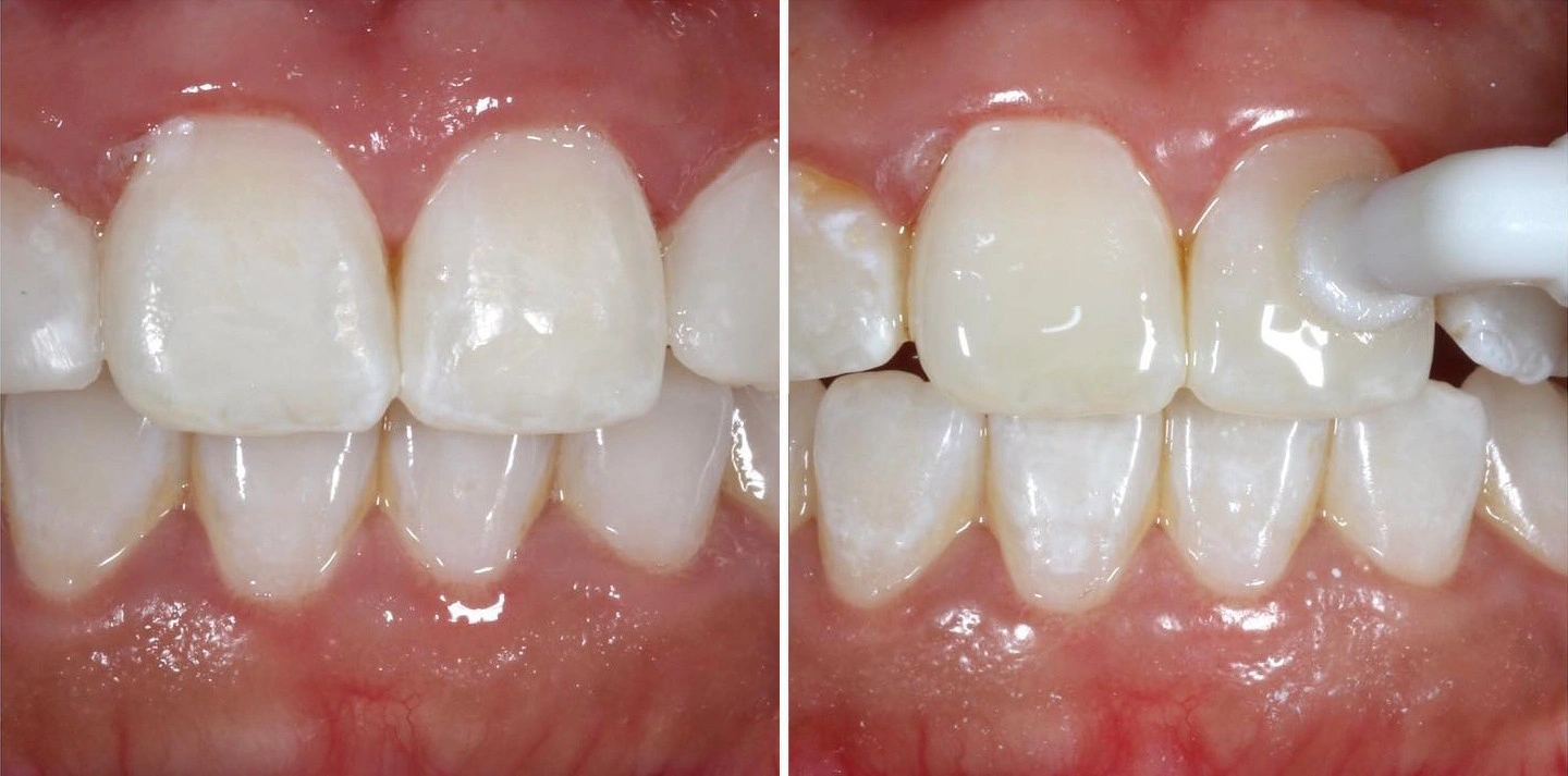
                  White Spots on Teeth Treated with ICON

                  • Many people have different kinds of white spots on their teeth (e.g., fluorosis, diet, enamel hypoplasia, and/or plaque accumulation)
                  • Treatments can vary depending on the etiology and severity of white spots, but one treatment is ICON
                  • Young patient in her 20s initially wanted veneers to address her chief complaint of white spots
                  • After consultation, we took a conservative approach with a combination of ICON on all 6 anterior teeth and composite resin on just the laterals (beside the front teeth)
                  • What makes this case rewarding is that I could achieve the patient’s desired result without ANY tooth reduction. Trying to understand what the patient wanted rather than what I could potentially do makes the initial consultation appointment so imperative
                    J

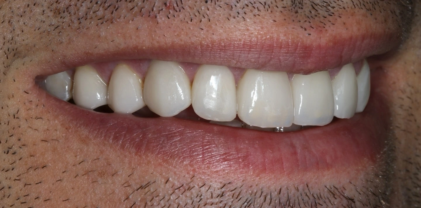
                    Smile Makeover with 8 Feldspathic Veneers

                    • Patient’s teeth were too narrow for his bite, so we had to consider the appropriate widths/lengths of the teeth for the ultimate success of this treatment. The golden proportion/ratio and Chu proportion were used to ultimately determine the gingival position
                    • A surgical stent was made off of this wax-up, and esthetic laser crown lengthening was completed
                    • Closed the diastemas (gaps between two teeth) in the ideal position
                    • Final movements were determined alongside orthodontist @dr.sheelalewis, including the amount of overbite needed to length the teeth. This case could only be so conservative (0.4 mm tooth reduction) by having the ortho place them in the ideal location
                      K

                      Peg Laterals

                      • Patient presented with peg laterals and a smile that he just was not happy with. Peg laterals are when the two teeth next to your front teeth didn’t fully develop, so they look smaller, thinner, or pointier than usual
                      • The goal was to gently move the canine teeth forward by reshaping the outer tips a bit. This helped close the gap between the teeth, and we used custom-made porcelain veneers on the front teeth to create a natural, even smile
                      • Selective areas of laterals and canines were “prepless” and completely additive. This conservative reduction was only possible by envisioning the final outcome before touching any teeth
                        L

                        Strategic Partial Set of Veneers and Implant Crowns

                        • At Bridgeway Dental, we review your records, photos, and goals. This could’ve been a full set of veneers and implant crowns, but finding the right balance (financial, emotional, and clinical) matters just as much as the dentistry itself.
                        • Bring your notes and ideas, we love collaboration!
                          M

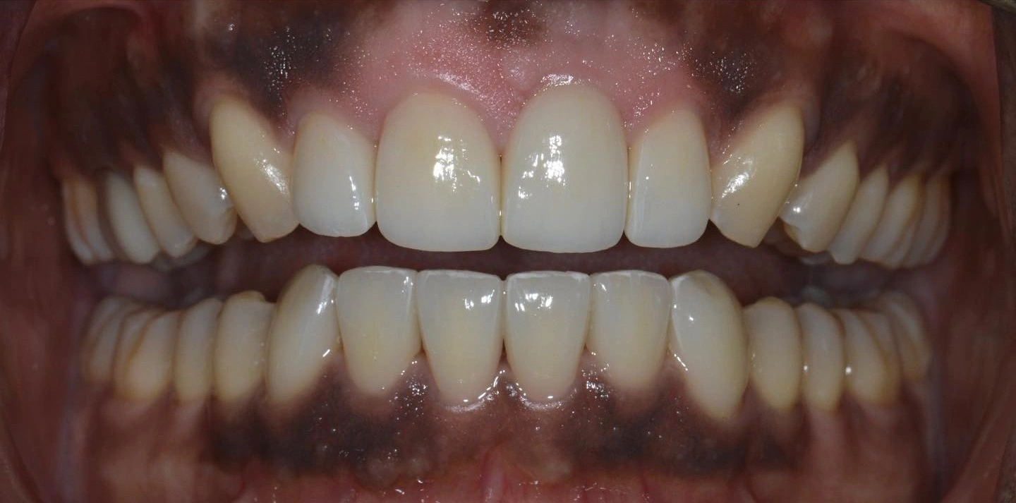
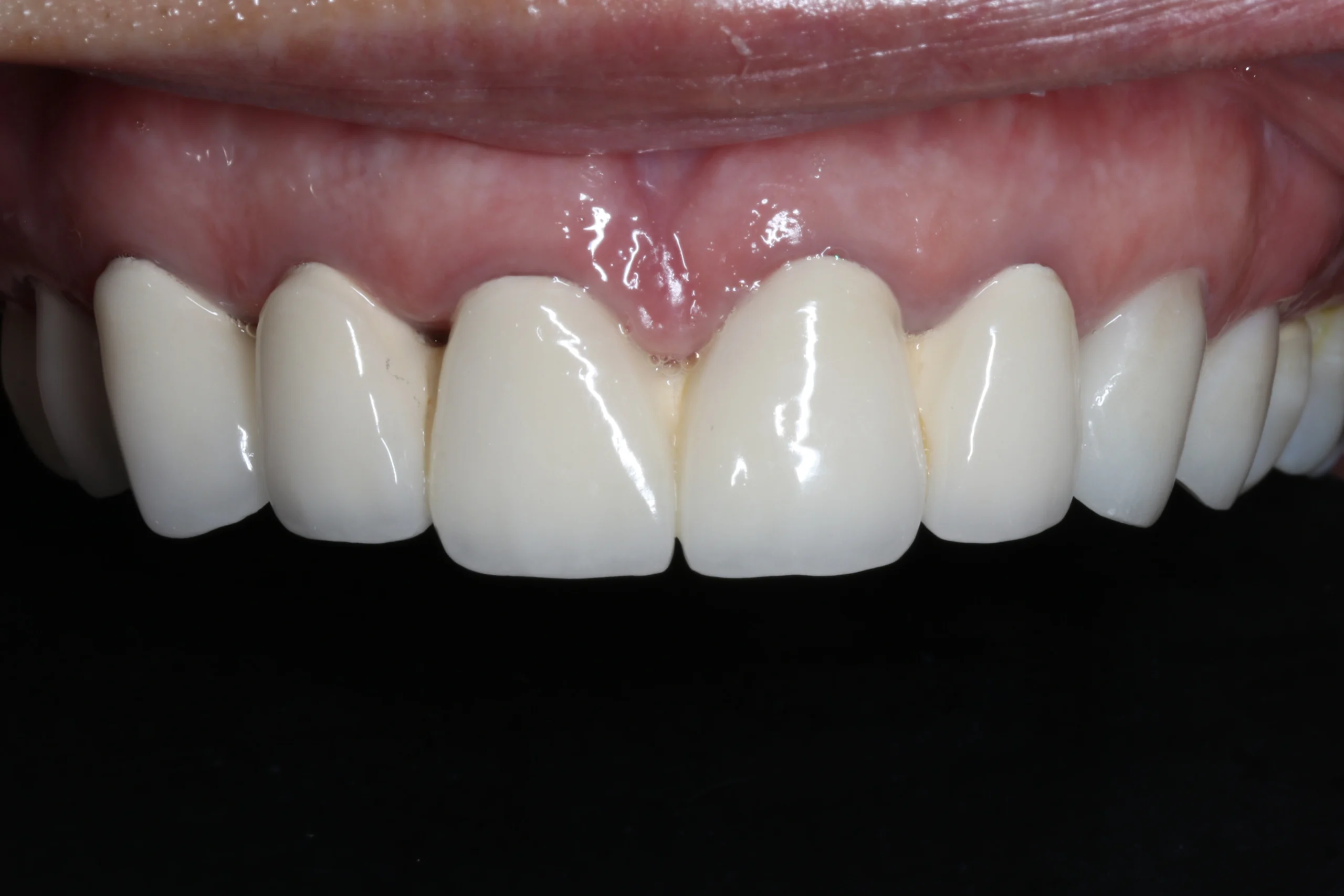
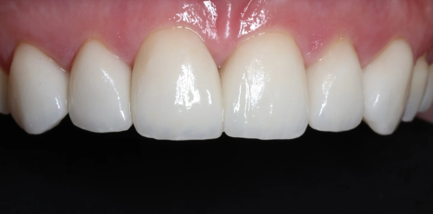
                          Redo Case of Bulky & Opaque Veneers/Crowns

                          • This patient shared that she had never truly loved her smile after having work done more than a decade ago. At Bridgeway Dental, our goal is to deliver dentistry that functions beautifully and looks naturally effortless.
                          • We began by creating a trial smile so she could preview the final outcome before any treatment started. Once she felt confident in the direction, we carefully removed the old crowns and performed a deep cleaning underneath to reset the foundation.
                          • Her new veneers and crowns now have translucency, texture, and character. The result is a smile that looks alive, balanced, and—her words—“so natural it doesn’t look like anything was done.”
                            N

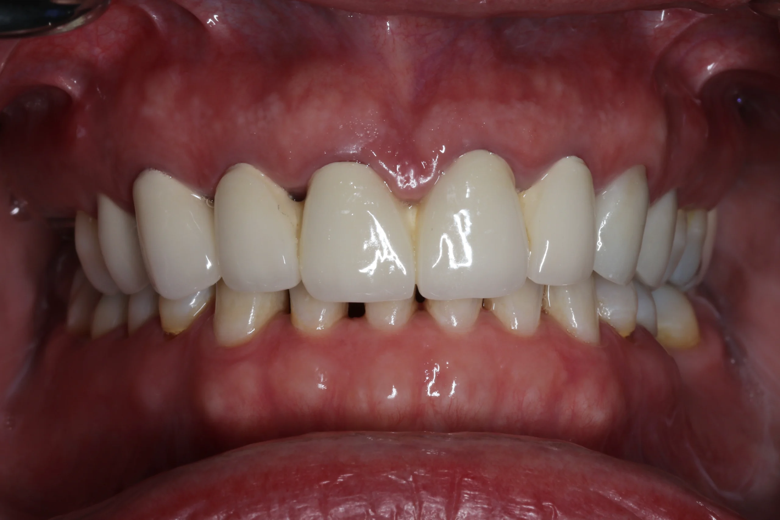
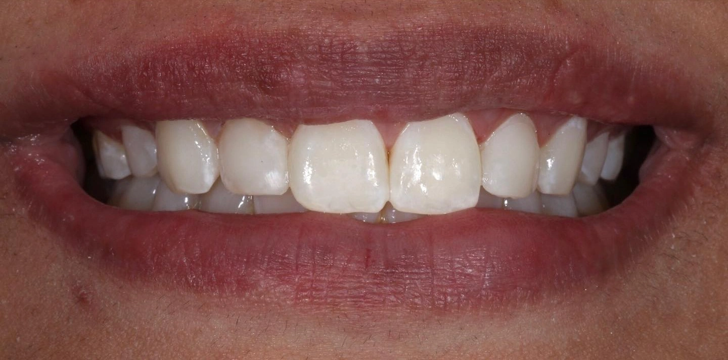
                            Full Mouth Combination of Veneers and Crowns

                            • To brighten up this smile but more importantly, to functionally address the wear pattern, a full mouth combination of veneers and crowns.
                            • Initially, the patient’s back teeth were rubbing in all angles and muscles were hyperactive.
                            • Canines were coupled into guidance, posterior interferences were removed, and bite was balanced. Muscles are now quiet!

                              Questions? Get in touch!